■インプラント(人工歯根療法)とは
いわゆる入れ歯は、無い歯の代わりに歯ぐきから上の部分だけを人工歯で補うものです。
インプラントは、歯が無くなった所に元の歯と同じように人工の根を埋め込む方法です。
いわば失われた歯を、歯根部分から同じように再建する方法です。
骨の状態により応用できない場合もありますが、適応できる状態にあれば「歯が無いところに歯をつくる」方法として、現在もっともよいものだと思います。
インプラントにはちょっとした手術を行いますので、時間も他の治療に比べて長くなり費用も高めです。
しかし咬み心地もよく、見た目にも入れ歯には見えない長所があります。
■従来の方法との違い
~歯が1~2本無い場合~
失われた歯の両隣の健康な歯を削ってブリッジ(橋渡し)にします。これでも違和感なく咬めますが、健康な歯まで削るのはイヤですよね。2本無い場合など、その抜けた2本分の歯にかかる咬みあわせの力も支えの歯で負担しますので、支えの歯は大変です。
歯の抜けた所へインプラントを埋入し、自然な歯を再現します。もちろん、隣の歯を削る必要は一切ありません。2本抜けても2本のインプラントを骨にしっかり植立しますので、強い力で咬むことが
できます。
~歯が数本無い場合~
取り外しの部分入れ歯を作ります。 入れ歯の維持のためにどうしても バーを左右に渡したり、残った歯にバネの金具を かける必要があります。 入れ歯は「慣れ」も大切ですが口の中の異物は大なり小なり違和感が残ります。 支えの歯にも固定の負担がかかります。
無い歯の数だけインプラントをします。入れ歯のバーや金具がないので、お口の中はすっきりします。自分の歯とも見分けがつかないくらい治療の跡も分かりません。
~歯が全部無い場合~
いわゆる「総入れ歯」をつくります。 顎の形によっては義歯が不安定になったり、動くことによって発音しにくくなったり、 あたってイタイところが出てきたりします。
数本のインプラントを植立し、そこに磁石や維持装置を入れ、入れ歯を固定します。 入れ歯が安定するのでよく咬めるようになります。
■ホワイトニング
もともと「ホワイトニング」とは歯を白くするすべての治療を含みます。 そのなかで特定の薬剤を使って歯を白くすることを「ブリーチング」といっていましたが、現在では混同して使われています。 では、歯を白くするために・・・
■まずはプロの歯磨きを受けましょう
「なに?それ?」というあなた。 どうぞ予防歯科のページをごらんください。 簡単に言えば、プロが行う歯のクリーニングです。 でもこれだけでも歯についた茶しぶやタバコのヤニ位なら痛みもなくピカピカになりますよ。 「私はこれで十分きれいになったわ・・・」 そんなあなた。 よかったですね。 これからも定期的に6ヶ月にいちど検診を受けにいらしてください。 「汚れはなくなったけど自分の歯の色は黄色いなあ・・・」 そんなあなた、あきらめる必要はありません! ホワイトニング(ブリーチング)でより自然により美しく歯を白くしませんか。 ただし残念ながらここから先は保険適用外、自費治療になります。
<症例 1>
歯ぐきの美白(メラニン色素除去)も行いました。

<症例 2>
ビックリするくらい白くなりました!

■突然ですが、「歯医者さん」って怖いですか?
「あたりまえだよ!キィーンで音だけで寒気がするし、麻酔の注射だってイタイ!それでもって、痛いところガリガリ削られるし!ああ、考えただけで怖い!」
「そりゃそうですよね・・・ 私もそう思います。かくゆう私だって
できれば歯医者なんてかかりたくありません」「でもちょっと待ってください!それってあなた、目いっぱいガマンした
あげく限界をむかえ、歯が痛くなってから歯医者にいくからです。
スゴク痛いときって、麻酔が効きにくくなります。 ズキズキするほどの
虫歯の治療には、どうしても削る必要が出てきます。」「ほら、やっぱり!」
「いやいや、早まらないでください。先ほど言いました。それって相当痛くなって歯医者に駆け込むから、怖い所に来たと思われるのです。」
もしあなたが痛くなってからお見えになるのではなく、 そもそも「痛くならないように検診、予防で歯医者に来てもらったら・・・」
もちろん痛い思い、怖い思いなんか全くすることはありません。
いやむしろ、歯のお掃除はツルツル、サッパリ!とても気持ちいい思いをするはずです。
これが「予防歯科」です。
■予防こそ最良の治療
さて虫歯予防、歯周病予防 のためには何が必要でしょう?
「歯みがき?」
そう歯みがきです。でもオウチの歯みがきだけで予防できるでしょうか?
お口の中をごらん下さい。
毎日ちゃんと歯みがきしていたのに、治療した銀歯や差し歯でいっぱいでしょ。(そう、歯医者である私の口の中も・・・)
なぜ虫歯になっちゃったの? あなたのせいではありません。
そう、悪いのは頑固な虫歯菌、歯周病菌です。
プロのメンテナンスなしでは2次カリエス(治療した歯が再び虫歯になること)は防げません。
あなたの歯みがきだけではバイオフィルム(歯周病菌が成熟して除去しにくい歯垢となったもの、歯の知識のページもごらんください)は絶対に落とせないのです。
■プロの歯磨きってご存知ですか?
「そんなの知っているよ。歯石とりのことでしょ? あれ、なんかイタソーでヤダ!」
「ちがいます! もちろん何年も歯医者にかかってなくて、歯石がたくさんついていればまず歯石を除去します。
そのあとの話です。
くどいようですが、予防のためにいく歯医者ではイタイ思いなんかさせられることはありません。
プロでしかお掃除できない歯と歯の間、歯の表裏、かむ面、歯周ポケット内などを、やわらかいゴム製のチップを特殊な動きをする器具に付け、フッ素入りペーストを使いながらピカピカに仕上げます。」
これがプロが行う歯磨きです。
詰め物、かぶせ物のメンテナンスにも、とてもいいです。
「じゃあどのくらいおきにやればいいの?」
「そう。6ヶ月に1度くらいのペースで、おみえになれば・・・ 何の痛みもなく歯はツルツルです。」
<症例 1>
頑固なヤニも20分程でピカピカになります!

<症例 2>
歯石は自分の歯ブラシだけでは取れません!

■6ヶ月に一度の検診
どちらも継続することが大切です。
はじめに言いました。
歯医者は、「痛くなってからはじめて行くところ」ではないのです。
あなたが自分自身を大切に思うなら・・・ 「痛くならないように行くべきところ」なのです。
どんな名医がどんなに優れた技術、材料を使ったとしても、天然の歯にはとうていかないません。
やっぱり予防こそ最良の治療です。
いつでも、私たちに会いにきてください。
将来にわたっての「お口の健康」を、ぜひ私たちと一緒にキープしていきましょう!
■さあ、一緒にガンバリましょう
お子様の治療といっても、基本的には大人の治療と変わりません。
ということは、やっぱり虫歯を作らないよう予防がイチバンです。
といっても、「歯がイタイと子供が泣いている」これって親としてツライですよね。
一刻も早く痛みを取り除いてあげたいのが親心。
変わってあげたいような、でも歯の痛みは怖いような・・・
大切なお子様が安心して通える歯医者であるために・・・
■お母さん、お父さんへお伝えしたいこと
![]()
就学前のお子様はできるだけ午前中に来院しましょう。
お昼寝前や、眠くなる時間帯を避け、調子のいい時間帯を選びましょう。
吐いたりすると危険ですから治療前の満腹は避けましょう。
もし、お子様が治療に協力的でなくても「ゼッタイ、痛いことしないから」、「お薬つけるだけだから」、「注射はしないから」などといったことで連れて来るのはやめましょう。
もしお子様が「ウソをついた」と思ったら不信感を持っちゃいます。
周りの方やお友達や兄弟が、自分の治療で不快だったことを話すのはやめましょう。
お子様は不安になるだけです。
日頃からお子様を叱る材料に「言うことを聞かないと歯医者で注射してもらうからね」とか言って、歯医者を怖い存在にしないでください。
歯医者が悪者になっている絵本には触れさせないでください。
私たちがお子様のお友達になれるようご協力をお願いします。
お母さん、お父さん、そしてお兄ちゃん、お姉ちゃんの励ましが
何よりもお子様を勇気づけます。
ニコニコ笑顔を絶やさず「がんばったね」、「えらいね」と激励し、
上手に出来たときは思い切りほめてあげてくださいね。
そして上手に出来たことをお子様に自慢してもらいましょう。
■麻酔について ~大人だってイヤだよね~
虫歯でズキズキ痛がっている。
乳歯が残ったまま永久歯が変なところに生えてきた。
こんなとき、虫歯を削る、歯を抜く行為にはどうしても麻酔の注射が必要になります。
当院ではできるだけお子様に痛みを与えないよう、まず麻酔薬のついたシールを使用しています。
このシールで表面に麻酔が十分効いた後、注射するタイミングや場所、針の角度、麻酔薬を入れるスピードを工夫するなど数々のテクニックを用いてなるべく痛くないよう配慮しています。
また冬季には麻酔薬を温め、体温との差を少なくし痛みを軽減させています。
どうぞ安心なさってください。
治療後はお口のまわりがしびれて感覚がなくなっています。
お食事は唇や頬をかんだり、やけどしたりする心配がありますので麻酔がさめるまで控えてください。
歯の麻酔は軽い部分麻酔ですのでほとんどは1~2時間程度でさめます。
■キシリトールのお話 ~おやつはしつけ~
こどもの間食って甘いものになりがちです。
3度の食事を補うためとしても、甘いものの取りすぎはやっぱりよくありません。
食事時の食欲を減退させたり、栄養のバランスが崩れたりします。
ダラダラ食べさせるのはやめましょう。
「甘いものが食べたくなったらキシリトール!」
これ、非常に有効です。
キシリトールはシラカバなどから採れる天然素材の甘味料です。
甘さは砂糖と同じでカロリーは25%低く、虫歯の原因となる酸をつくりません。
しかも長時間かみ続けると虫歯菌が弱り、なんと虫歯ができにくくなります。
ポイントは食べたら咬む、寝る前にも咬む、です。
特に睡眠中は歯を守る唾液が少なくなるので、寝る前のキシリトールは効果的です。
ガムを選ぶときはキシリトール100%のものがオススメです。
なめるタイプのタブレットもありますので、お子様に合わせて選んでください。
■フッ素のお話 ~虫歯菌と戦う強力な武器だよ~
「イチバン手軽な虫歯予防としてフッ素はいいらしい・・・」 みんなご存知ですよね。
たしかにそうです。
市販の歯磨き粉の約80%にはフッ素が含まれており、一般に大人用よりも子供用の方が濃度が高くなっています。
というのも乳歯にしても永久歯にしても生え始めたばかりのお子様の歯はまだ成熟していないため、この時期のフッ素塗布が非常に有効だからです。
歯磨き粉のオススメは当院でも販売しているチェックアップシリーズです。
これにはフッ素が950ppm(日本では厚生労働省で1000ppm以下と決められています)とキシリトールが配合されていて、相乗効果が期待できます。
もうひとつのオススメは「ご家庭用のフッ素ジェル:ホームジェルなど」(歯磨きが終わった後に塗るジェルです)です。
ご家庭ではこの2つで、ダブルブラッシングすればパーフェクトでしょう。
さてフッ素の効果を簡単に言うと、歯の強化、再石灰化の促進、虫歯菌の抑制の3つです。
再石灰化とは、溶け始めた歯を元にもどすことをいいます。
「オウチでフッ素入りの歯磨き粉で毎日磨いているよ」とても大事なことですね。
でもこのすばらしいフッ素の効果を最大限にひきだすには正しい方法で磨くことなのです。
正しい方法で磨かなければ「歯を磨いた」とは言えないのです。
ブラッシング指導を受けましょう。
当院ではフッ素塗布の前にお子様の歯にPMTC、ブラッシング指導を行います。
ツルツル、ピカピカの歯にこそフッ素の最大の効果が得られます。
なお歯医者で塗るフッ素は、歯磨き粉に含まれるフッ素の約10倍の濃度です。
といっても1回塗ったからといって虫歯にならないというわけではありません。
3ヶ月にいちどは定期的にフッ素塗布を受けましょう。
■さあ、みんなでお子様の大切な歯を守りましょう
■お口の健康のために
口腔外科「こうくうげか」と読みます。
どんなイメージをお持ちでしょうか?
外科というと、ちょっとこわい感じがしますよね。
当院は大学病院とは違って設備も限られていますから、
もちろん外科といってもできることは限られています。
実際に当院でできることというと・・・
抜歯、歯周外科手術、歯根端切除術、歯肉の整形や小帯切除術、
粘膜疾患の簡単な手術くらいです。もちろん当院で手に負えない
腫瘍などが疑われる場合や見つかった場合は、
すみやかにしかるべきところへご紹介申し上げます。
■抜歯
「できるだけ歯は抜かずに治したい・・・」
あたりまえですよね。
いまどきの歯医者さんはみなそうです。
一昔前と違ってみな「なるべく抜かない歯医者」を目指しています。
でも不幸にして 「抜歯が避けられない状態であれば・・・」 あなたの健康のために 「抜くメリットの方が大きければ・・・」 あなたにご相談の上、もちろん抜く決断をします。
特に「親知らず」。
歯の知識のページでも触れていますが、「異常な生え方をして歯磨きができない場合・・・」、「親知らずのためにかみ合わせがおかしくなっている場合・・・」などは抜いた方が良いです。
たとえばこんな感じのもの・・・
よく「親知らずが腫れて痛い」と聞きますよね。
これは歯が腫れるのではありません。
歯磨きが行き届かないため歯垢がたまり、まわりの組織に炎症がおきて腫れるのです。
大昔に比べ食生活が変わり、人間の顎は小さくなって親知らずまでうまく並ばない。
そう一種の「文明病」なのです。
当院ではこんな難しい親知らずの抜歯もできるだけお引き受けしています。
大学病院を紹介されたけれど、「ちょっとおっくう」 「なかなか時間がとれない」 という方は1度ご相談ください。
■歯周外科手術
「歯周病で手術? そんなことするの?」
そう思われる方もいると思います。
歯周病治療の第一歩は、確かにあなた自身の歯みがきです。
歯みがきといってもたんなるブラッシングだけではありません。
デンタルフロスや歯間ブラシも使って、徹底的なプラークコントロールをしていただきます。
これだけでもあなた自身の力で表面の炎症はずいぶん改善します。
そこから歯ブラシでは除去できない歯石を私たちが取っていきます。
これで病的な歯周ポケットがなくなれば手術まで行う必要はありません。
あなた自身が自分の力でお口の中を管理できる状態になったのです。
「自らがんばれば自分の力で病気を改善できる」ことに気がついたあなた・・・
その後は私たちと継続したメンテナンスを行っていきましょう。
ここまでの治療をイニシャル・プレパレーションといいます。
さてブラッシングが上手に出来るようになった。
プラークコントロールはもうバッチリだ。
でもまだ歯周ポケットが深く残っている。
こんなときは外科的にポケットを除去する手術を行います。
いわば歯ぐきの「整形手術」です。
この整形手術にもいろいろな整形法があります。
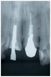
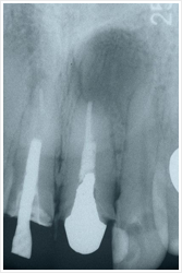
たとえばこんな感じです。
写真の方は炎症歯肉を切除したものです。
レントゲンの方は歯肉を開いて、根の深いところにある歯石や病巣を徹底的に除去したものです。
その結果、術前には根の周りに骨がなく(黒くみえる所)歯が浮いた状態だったものが、ほぼ1年後には失われた骨がずいぶんと再生し、歯もしっかりしてきました。



■歯根端切除術
「歯の根元の歯ぐきになんかできものがある。
この腫れものから、ときどき膿がでているみたい。
膿がでれば腫れはひくし、あんまり痛くはないけど・・・」 こんな経験をされている方もいると思います。
おそらく根の先に溜まっている膿が、骨や歯肉を貫通し、体調によって膨らんだりつぶれたりしている慢性的な炎症です。
こんなとき、通常は歯の上から穴を開け、もともと神経のあった管をとおして膿をだす治療をします。
いわゆる「根っこの治療」です。
膿(病巣)の大きさが小さい場合、回数はかかってもたいていはこの治療法で炎症は治まります。
でもその根の治療が無理な場合、直接、根の先(歯根端)と共に病巣部分を切除する手術をします。
これを歯根端切除術といいます。
無理な場合とは、こんなときです。
・ 病巣が大きすぎて歯の中からだけでは(神経のあった細い管からだけでは)膿を全部出し切れない場合
・ 根の形が極端に曲がっていて、通常の治療が困難な場合
・ 炎症病巣をもつ歯に強固な差し歯が装着されていて、その差し歯を壊せない(除去できない)と予想される場合
・ 炎症病巣をもつ歯に高価なかぶせ(冠)や差し歯が装着されていて、その冠を壊したくない場合
などです。
実際の治療はこんな感じです。
■萌出困難歯の開窓
「ウチの子、乳歯が抜けて半年も経つのになかなか永久歯が出てこない。まさか一生このままじゃ・・・」
「大人の前歯は生えてきたけど、歯の真ん中の歯ぐきのスジがじゃましてすきっ歯になっている・・・」
お母さん、お父さんとしては心配ですよね。
でもよくあることなのです。
こんなとき当院ではレーザーが活躍します。
レーザーと聞くとみなさん思い浮かべるのが「レーザーメス」ではないでしょうか。
そう、レーザーは歯ぐきなどのやわらかいものを切るのが大得意なのです。
ちゃんと永久歯があって、もう出てきてもいい状態なのになかなかでてこられない(萌出困難)のは、もぐっている歯の上にある歯肉の厚みが肉厚だからです。
こんなときレーザーでその歯肉に少し歯の出口を作ってあげます。
歯が出てくる窓を開けてあげる(開窓)のです。
だいたい1週間から10日もすれば永久歯は顔を出してきますよ。
< 症例 > 8歳 女児
前歯の乳歯が抜けてから、1年以上たつが、永久歯が出てこない・・・。母親が心配して、お子様と来院。
歯肉が肥厚し、歯が出てこれない
レーザーにて歯肉の開窓
1週間後 : 歯が出てきました
開窓 1ヶ月後
開窓 1ヶ月半後
■小帯切除術
さて、「上の前歯の間にある歯ぐきと唇をむすぶスジ」 これを上唇小帯といいます。
ちなみに舌や頬にも小帯があります。
この上唇小帯が、乳歯の歯の時に前歯の間まで伸びていたとしても、うわあごの成長とともに自然と退縮することが多いので心配ありません。
しかし永久歯がだいぶ生えてきた10歳くらいになっても、前歯の間にまで小帯が伸びていたら短く切除してあげた方がいいかもしれません。
見た目の問題としてはいわゆる「すきっ歯」なだけですが、障害としては、上唇の動きを妨げたり、そのすき間により歯垢がたまりやすくなります。
つまりむし歯や歯肉炎にかかりやすくなるのです。
手術はとても簡単です。
レーザーを使った切除は血もほとんど出ませんし、切ったからといって縫合もしません。
術後の痛みもほとんどなく、1週間もすればほぼ治癒します。
< 症例 > 22歳 男性
日常生活に支障はないものの、笑った時の口の形が以前から気になっていた。
笑ったとき上唇の真ん中が小帯に引っ張られ、内側に巻き込まれる。小帯付近は上唇が上に上がらない。
術前 小帯が下方に延びすぎている
術直後(7mm上方移動)
2週間後(キレイに移動・治癒)
■粘膜疾患
口の中の粘膜にできる病気で最も一般的なものは「口内炎」でしょう。
歯の知識のページにも書きましたが、早く治したい場合はやっぱりレーザーを使います。
そのほか、唇や頬の粘膜によくできるものとしては、乳頭腫、繊維腫、血管腫、脂肪腫などの良性腫瘍や粘液嚢胞やガマ腫などの嚢胞(のうほう)があります。
また歯肉にできるエプーリスという腫れものにもよく遭遇します。
できた腫れ物の確定診断は摘出後の病理組織検査を行わなければ分かりませんが、そのふくらみが明らかに良性であり、採りやすいものであれば、当院でも摘出術は行っています。
当院ではこれにもレーザーが大活躍しています。
< 症例 > 61歳 女性
一ヶ月ほど前から頬の内側に腫れ物が出来たのを自覚していたが、 特に痛みもないため、放置。
自然にひかないため心配になり、 来院された。粘液嚢胞、脂肪腫が疑われる。
術前 頬粘膜にあるポリープ
全摘出したポリープ
2週間後 (キレイに治癒)
■自費診療について
当院ではもちろん・・・
「保険診療を中心としてベストを尽くすこと」をお約束します。。
ただ、国が定めた保険制度には各種の制約があり、「なるべく費用のかからない方法や材料のみが保険では採用されている」ことをご存知でしょうか。
憲法第25条「国民はみな最低限の健康な生活を送る権利がある」で規定された健康保険制度の医療は、国民の最低の健康保持を保証するためのものなのです。
ですから、いくとおりの治療法や材料があっても、歯科の場合、特に最終的な詰め物やかぶせは、代用の材料を用いた場合のみが「保険診療」となります。
もっとも、仕方がないことでもあります。
国の保険財政にも限界があり、材料制限、方法制限をしないと国民の治療費を拠出できないのです。
たとえば前歯のかぶせ。
虫歯の小さいものは「レジン」という樹脂を詰めるだけですみますが、虫歯が大きかったり、特に神経を取ってある歯はもろくて割れやすいので冠をかぶせることになります。
保険で出来るのは「硬質レジン前装冠」です。
これはやはり「吸水性」がある樹脂なので、お口の中に入るコーヒーやお茶、味噌汁など色のついたものを吸水してしまい、1年位たった頃から、黄色く変色したり、磨耗したりしてきます。
これに対し、自費診療では「ポーセレンメタルボンド」というセラミックを使います。
これは今ある材料の中でもっともあなたの歯に近い色を再現でき、もちろん変色も磨耗も、臭いすらつかず、耐久性にも優れているのです。
このように「歯のためにもっといい材料があったとしても、保険では使えない」のです。
たとえば入れ歯。
いわゆる「ブリッジ」で補える場合もありますが、たくさんの歯が失われた場合や、ブリッジにする支えの歯を削りたくない場合は、入れ歯(義歯)となります。
ちなみに義手、義足、義眼、髪の毛が無くなっての植毛(義毛?)など、「義」のつくものに保険は利きません。
歯が無くなったのも実は「病気」ではありません。
「後遺症」なのです。
ところが歯だけは例外で、制限はあるものの「義歯」に保険は利くのです。
さて、話をもどします。
保険では「レジン床義歯」となります。
これは基本的にはほとんどがプラスチック製のため、割れないようにするには
どうしても分厚くする必要があり、快適さが損なわれます。
またお口に入ってくる食べ物の熱が伝わりにくく、温かいものがおいしく
食べられなかったりします。
また保険では義歯の設計にも制限があります。
一方、自費では「金属床義歯」となります。
この金属にはチタンやゴールド、コバルトなどが使われます。
保険の「レジン」に比べ丈夫な金属を使用できるため、快適で、たわまず、
丈夫な入れ歯を作ることができます。
金属ならではの薄い仕上がりは、美しさはもとより違和感を少なくし、
熱も伝わりやすいため温かいものは温かく、冷たいものは冷たく食事を楽しむことができます。
お口の中もレジン床より広く感じることと思います。
まだまだ他にも・・・
たとえば、インプラント。
今ある治療の中で失われた歯を再建するのに最も良い方法であると思います。
もちろん保険適用外です。
たとえば、見た目をよくする
ホワイトニングや矯正治療
歯が黄色いこと、歯並びが悪いことは病気とはされていません。
たとえば、最先端のレーザー治療
これはレーザーでなくても従来のやり方で治せる・・・、といわれればそうなので保険適用外ですが、当院では一切お金はいただいておりません。
このように医療技術や材料は、どんどん新しい方法が開発されています。
あたりまえですが医療は生涯研修です。
これらの新しい方法は、より質の高い医療のために、私たちは勉強したり、研修、実習を受けたりして技術を獲得しています。
ですが、実際には保険診療ではできません。
ですから、あなたの幸せ、将来、快適さ、耐久性、カッコよさ・・・などを考え、ワンランク上の微笑をあなたに・・・となると、結果的に「自費診療」となってしまうのです。
もちろん、当院では無理に押し売りするようなことは絶対にいたしません。
はじめにいいました。
あくまで保険診療を中心とし、全力投球しています。
ただ「もっと良い方法、材料があるのなら、車や宝石にお金をかけるより、お口の健康にも少しはお金をかけたい・・・
毎日、そして一生使うものだから・・・」 と考えるあなた。
当院はその期待に応えます。
いつでもご相談ください。
■料金一覧
■ 唾液緩衝能試験
(むし歯・リスクテスト)
虫歯になりやすいかどうかを調べます
¥700 ■ ホワイトニング:歯の漂白
薬剤を用いて歯の色を白くします
上顎or下顎
¥35,000 上下顎
¥60,000 ■ 歯肉の色素除去:歯ぐきの美白
歯肉の黒ずみ(メラニン色素)を除去します
片顎
¥20,000 ■ ホワイトコート:歯のマニキュア
歯を一時的に、白くコーティングします
1歯につき
¥2,500 ■ ナイトガード(歯ぎしり用)
歯型に合わせたプレートで、歯ぎしりによる歯の損傷を防ぎます
¥12,000 ■ マウスガード(スポーツ用)
歯型に合わせたプレートで、外傷から歯を守ります
¥15,000 ■ エステニア(歯と似た色の詰め物) インレー
歯の一部のみを覆う詰め物
¥30,000 アンレー
歯の山部分までを覆う詰め物
¥40,000 クラウン
歯全体を覆うかぶせ物
¥60,000 ■ ポーセレンメタルボンド
色の変わらないセラミックのかぶせ物
¥87,000 ■ 義歯 金属床
入れ歯の厚みを薄く作製でき、また口の中に冷熱感伝わりやすくなります
¥230,000 ■ 磁性アタッチメント ¥80,000 ■ インプラント(人工歯根)
失われた歯を再建します。
上部構造(歯の部分)は別料金となります
1本につき
¥200,000