
口腔外科「こうくうげか」と読みます。
どんなイメージをお持ちでしょうか?
外科というと、ちょっとこわい感じがしますよね。
当院は大学病院とは違って設備も限られていますから、
もちろん外科といってもできることは限られています。
実際に当院でできることというと・・・
抜歯、歯周外科手術、歯根端切除術、歯肉の整形や小帯切除術、
粘膜疾患の簡単な手術くらいです。もちろん当院で手に負えない
腫瘍などが疑われる場合や見つかった場合は、
すみやかにしかるべきところへご紹介申し上げます。
「できるだけ歯は抜かずに治したい・・・」
あたりまえですよね。
いまどきの歯医者さんはみなそうです。
一昔前と違ってみな「なるべく抜かない歯医者」を目指しています。
でも不幸にして 「抜歯が避けられない状態であれば・・・」 あなたの健康のために 「抜くメリットの方が大きければ・・・」 あなたにご相談の上、もちろん抜く決断をします。
特に「親知らず」。
歯の知識のページでも触れていますが、「異常な生え方をして歯磨きができない場合・・・」、「親知らずのためにかみ合わせがおかしくなっている場合・・・」などは抜いた方が良いです。
たとえばこんな感じのもの・・・



よく「親知らずが腫れて痛い」と聞きますよね。
これは歯が腫れるのではありません。
歯磨きが行き届かないため歯垢がたまり、まわりの組織に炎症がおきて腫れるのです。
大昔に比べ食生活が変わり、人間の顎は小さくなって親知らずまでうまく並ばない。
そう一種の「文明病」なのです。
当院ではこんな難しい親知らずの抜歯もできるだけお引き受けしています。
大学病院を紹介されたけれど、「ちょっとおっくう」 「なかなか時間がとれない」 という方は1度ご相談ください。
「歯周病で手術? そんなことするの?」
そう思われる方もいると思います。
歯周病治療の第一歩は、確かにあなた自身の歯みがきです。
歯みがきといってもたんなるブラッシングだけではありません。
デンタルフロスや歯間ブラシも使って、徹底的なプラークコントロールをしていただきます。
これだけでもあなた自身の力で表面の炎症はずいぶん改善します。
そこから歯ブラシでは除去できない歯石を私たちが取っていきます。
これで病的な歯周ポケットがなくなれば手術まで行う必要はありません。
あなた自身が自分の力でお口の中を管理できる状態になったのです。
「自らがんばれば自分の力で病気を改善できる」ことに気がついたあなた・・・
その後は私たちと継続したメンテナンスを行っていきましょう。
ここまでの治療をイニシャル・プレパレーションといいます。
さてブラッシングが上手に出来るようになった。
プラークコントロールはもうバッチリだ。
でもまだ歯周ポケットが深く残っている。
こんなときは外科的にポケットを除去する手術を行います。
いわば歯ぐきの「整形手術」です。
この整形手術にもいろいろな整形法があります。
たとえばこんな感じです。
写真の方は炎症歯肉を切除したものです。
レントゲンの方は歯肉を開いて、根の深いところにある歯石や病巣を徹底的に除去したものです。
その結果、術前には根の周りに骨がなく(黒くみえる所)歯が浮いた状態だったものが、ほぼ1年後には失われた骨がずいぶんと再生し、歯もしっかりしてきました。



「歯の根元の歯ぐきになんかできものがある。
この腫れものから、ときどき膿がでているみたい。
膿がでれば腫れはひくし、あんまり痛くはないけど・・・」 こんな経験をされている方もいると思います。
おそらく根の先に溜まっている膿が、骨や歯肉を貫通し、体調によって膨らんだりつぶれたりしている慢性的な炎症です。
こんなとき、通常は歯の上から穴を開け、もともと神経のあった管をとおして膿をだす治療をします。
いわゆる「根っこの治療」です。
膿(病巣)の大きさが小さい場合、回数はかかってもたいていはこの治療法で炎症は治まります。
でもその根の治療が無理な場合、直接、根の先(歯根端)と共に病巣部分を切除する手術をします。
これを歯根端切除術といいます。
無理な場合とは、こんなときです。
・ 病巣が大きすぎて歯の中からだけでは(神経のあった細い管からだけでは)膿を全部出し切れない場合
・ 根の形が極端に曲がっていて、通常の治療が困難な場合
・ 炎症病巣をもつ歯に強固な差し歯が装着されていて、その差し歯を壊せない(除去できない)と予想される場合
・ 炎症病巣をもつ歯に高価なかぶせ(冠)や差し歯が装着されていて、その冠を壊したくない場合
などです。
実際の治療はこんな感じです。








「ウチの子、乳歯が抜けて半年も経つのになかなか永久歯が出てこない。まさか一生このままじゃ・・・」
「大人の前歯は生えてきたけど、歯の真ん中の歯ぐきのスジがじゃましてすきっ歯になっている・・・」
お母さん、お父さんとしては心配ですよね。
でもよくあることなのです。
こんなとき当院ではレーザーが活躍します。
レーザーと聞くとみなさん思い浮かべるのが「レーザーメス」ではないでしょうか。
そう、レーザーは歯ぐきなどのやわらかいものを切るのが大得意なのです。
ちゃんと永久歯があって、もう出てきてもいい状態なのになかなかでてこられない(萌出困難)のは、もぐっている歯の上にある歯肉の厚みが肉厚だからです。
こんなときレーザーでその歯肉に少し歯の出口を作ってあげます。
歯が出てくる窓を開けてあげる(開窓)のです。
だいたい1週間から10日もすれば永久歯は顔を出してきますよ。
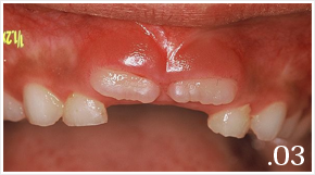
< 症例 > 8歳 女児
前歯の乳歯が抜けてから、1年以上たつが、永久歯が出てこない・・・。母親が心配して、お子様と来院。
歯肉が肥厚し、歯が出てこれない
レーザーにて歯肉の開窓
1週間後 : 歯が出てきました
開窓 1ヶ月後
開窓 1ヶ月半後
さて、「上の前歯の間にある歯ぐきと唇をむすぶスジ」 これを上唇小帯といいます。
ちなみに舌や頬にも小帯があります。
この上唇小帯が、乳歯の歯の時に前歯の間まで伸びていたとしても、うわあごの成長とともに自然と退縮することが多いので心配ありません。
しかし永久歯がだいぶ生えてきた10歳くらいになっても、前歯の間にまで小帯が伸びていたら短く切除してあげた方がいいかもしれません。
見た目の問題としてはいわゆる「すきっ歯」なだけですが、障害としては、上唇の動きを妨げたり、そのすき間により歯垢がたまりやすくなります。
つまりむし歯や歯肉炎にかかりやすくなるのです。
手術はとても簡単です。
レーザーを使った切除は血もほとんど出ませんし、切ったからといって縫合もしません。
術後の痛みもほとんどなく、1週間もすればほぼ治癒します。
< 症例 > 22歳 男性
日常生活に支障はないものの、笑った時の口の形が以前から気になっていた。
笑ったとき上唇の真ん中が小帯に引っ張られ、内側に巻き込まれる。小帯付近は上唇が上に上がらない。
術前 小帯が下方に延びすぎている
術直後(7mm上方移動)
2週間後(キレイに移動・治癒)
口の中の粘膜にできる病気で最も一般的なものは「口内炎」でしょう。
歯の知識のページにも書きましたが、早く治したい場合はやっぱりレーザーを使います。
そのほか、唇や頬の粘膜によくできるものとしては、乳頭腫、繊維腫、血管腫、脂肪腫などの良性腫瘍や粘液嚢胞やガマ腫などの嚢胞(のうほう)があります。
また歯肉にできるエプーリスという腫れものにもよく遭遇します。
できた腫れ物の確定診断は摘出後の病理組織検査を行わなければ分かりませんが、そのふくらみが明らかに良性であり、採りやすいものであれば、当院でも摘出術は行っています。
当院ではこれにもレーザーが大活躍しています。
< 症例 > 61歳 女性
一ヶ月ほど前から頬の内側に腫れ物が出来たのを自覚していたが、 特に痛みもないため、放置。
自然にひかないため心配になり、 来院された。粘液嚢胞、脂肪腫が疑われる。
術前 頬粘膜にあるポリープ
全摘出したポリープ
2週間後 (キレイに治癒)